


Το πρώτο υπερηχογράφημα κύησης, μια απίστευτα συγκινητική στιγμή! Ένα ταξίδι – αυτό της εξωσωματικής – τελειώνει και ένα νέο ξεκινάει: η εγκυμοσύνη!
Η Ε.Μ. (36 ετών) έκανε εξωσωματική λόγω πολυκυστικών ωοθηκών και τα κατάφερε με την πρώτη της προσπάθεια, όπως βλέπουμε και στον πρώτο υπέρηχο των διδύμων!
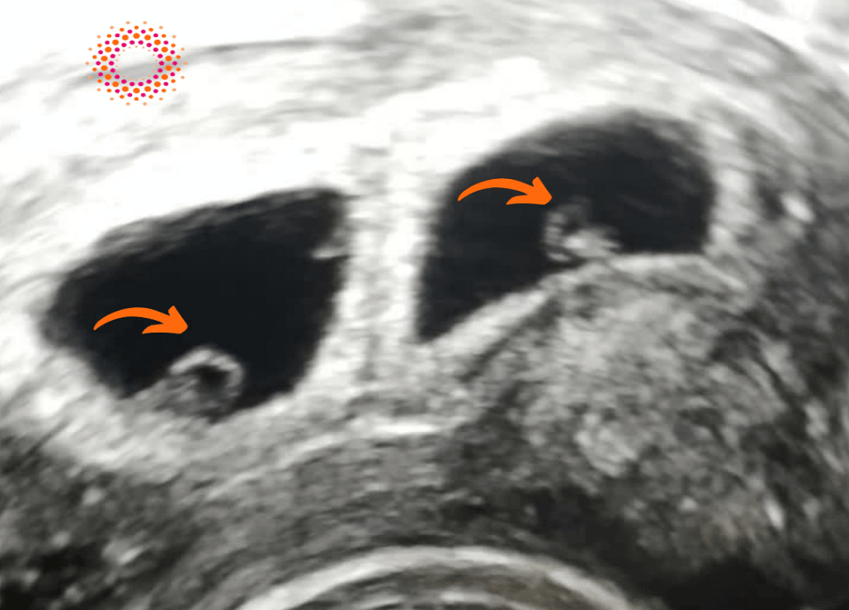
Ας εξηγήσουμε λίγο καλύτερα τι βλέπουμε στη φωτογραφία: απεικονίζεται η μήτρα και 2 σάκοι κύησης. Το πορτοκαλί βελάκι μας δείχνει τη θέση των εμβρύων μέσα στο σάκο.
Ο μαιευτήρας-γυναικολόγος Κωνσταντίνος Κουντάρας, συνεργάτης του γυναικολόγου αναπαραγωγής κου. Ευριπίδη Μαντούδη μας μιλά για το πρώτο υπερηχογράφημα κύησης:
Το πρώτο υπερηχογράφημα το προγραμματίζουμε περίπου στις αρχές της 7ης εβδομάδας, όταν περιμένουμε να έχουμε καλό μέγεθος του εμβρύου και να μπορέσουμε να ακούσουμε και την καρδούλα.
Σε αυτή τη χρονική στιγμή, το έμβρυο είναι περίπου 5-6 χιλιοστά και η καρδούλα χτυπά με πάνω από 100 παλμούς. Αυτά είναι τα πρώτα καλά στοιχεία που έχουμε ότι εξελίσσεται καλά η εγκυμοσύνη.
Στον 1ο υπέρηχο θέλουμε να δούμε τον αριθμό των σάκων και να επιβεβαιώσουμε ότι έχει γίνει εμφύτευση εντός της ενδομητρικής κοιλότητας, ανεξάρτητα αν έχει γίνει εξωσωματική ή αν πρόκειται για φυσιολογική σύλληψη. Διαδοχικά βλέπουμε τον λεκιθικό ασκό, το εμβρυικό στοιχείο και την καρδούλα.
Η επιλογή της 7ης εβδομάδας είναι το χρονικό σημείο όπου περιμένουμε να τα δούμε όλα αυτά. Εφόσον έχουν εξελιχθεί φυσιολογικά οι τιμές της β-χοριακής, προτιμάμε να κάνουμε τότε το πρώτο υπερηχογράφημα και όχι νωρίτερα για να μην αγωνιά το ζευγάρι [αν γίνει νωρίτερα, θα δούμε το σάκο και το έμβρυο αλλά ίσως να είναι νωρίς για να ακούσουμε την καρδούλα].
Η πανευτυχής – αν και φυσικά λίγο αγχωμένη! – μανούλα θέλησε να μας δώσει ένα μήνυμα προς όλες τις γυναίκες με πολυκυστικές ωοθήκες που προσπαθούν για το μωράκι τους:
Είναι σημαντικό οι γυναίκες με πολυκυστικές ωοθήκες να ενημερώνονται σωστά και να μη χάνουν άδικα χρόνο και να ταλαιπωρούνται χωρίς λόγο. Μακάρι να είχα κάνει την εξωσωματική μου πριν 2 χρόνια!
Η διαδικασία δεν με δυσκόλεψε καθόλου, απλά για περίπου 10 ημέρες έκανα τις ενέσεις. Θα το ξανάκανα αύριο κιόλας!
Με την ομάδα εδώ στο Γέννημα κατάλαβα ότι είναι σημαντικό όλες οι γυναίκες να ενημερώνονται και να λαμβάνουν την θεραπεία που ταιριάζει σε κάθε μια ξεχωριστά. Εγώ σίγουρα το ένιωσα αυτό κατά τη διάρκεια της δικιάς μου θεραπείας!
Την ευχαριστούμε που μοιράστηκε μαζί μας τη συγκινητική αυτή στιγμή και της ευχόμαστε μια ομαλή εγκυμοσύνη! Ολόκληρη η ομάδα μας θα είναι δίπλα της στο όμορφο ταξίδι της εγκυμοσύνης της μέχρι να κρατήσει τα μωράκια της στην αγκαλιά της!




